Целиакия. Информация для пациентов

14 августа 2017

Целиакия. Информация для пациентов

Что такое целиакия?

Целиакией называют врожденное заболевание, связанное с непереносимостью белка некоторых злаковых культур (пшеницы, ячменя, ржи), называемого глютеном.

У больных целиакией глютен вызывает иммунную реакцию в тонком кишечнике. Со временем эта реакция приводит к воспалению, которое повреждает эпителий тонкого кишечника и нарушает всасывание некоторых питательных веществ (синдром мальабсорбции).  

Повреждение кишечника может привести к потере веса, вздутию живота, а иногда и диарее. В запущенных стадиях болезни мозг пациента, нервная система, кости, печень и другие органы - лишаются жизненно важных питательных веществ, что и определяет клиническую картину этого заболевания.

целиакия


У детей нарушение кишечного всасывания может замедлять рост и развитие. Хроническое воспаление кишечника может вызывать боли в эпигастрии, особенно после еды.

Не существует никакого лечения целиакии, однако, строгое соблюдение безглютеновой диеты может привести к стиханию симптомов, или даже полному клиническому выздоровлению. Поэтому главным в лечении целиакии остается пожизненное соблюдение безглютеновой диеты.

Симптомы целиакии

Симптомы целиакии могут быть как почти незаметными, так и чрезвычайно тяжелыми.

Хотя классическими симптомами болезни являются диарея и потеря веса, большинство людей, больных целиакией, не имеют никаких внешних симптомов. Лишь у трети пациентов с целиакией отмечается диарея, и лишь у половины таких пациентов наблюдается потеря веса. Напротив, у 20% больных отмечаются хронические запоры, а 10% даже страдают ожирением. 

В дополнение к симптомам со стороны пищеварения, у пациентов с целиакией могут отмечаться:

  • Анемия, как правило, являющаяся следствием дефицита железа 
  • Потеря плотности костной ткани (остеопороз) или размягчение костей (остеомаляция) 
  • Зудящие пузыри на коже (герпетиформный дерматит) 
  • Повреждение зубной эмали 
  • Головные боли и чрезмерная усталость 
  • Поражения со стороны нервной системы, в том числе онемения и покалывания в руках и ногах (парестезии), а также проблемы с удержанием равновесия 
  • Боли в суставах 
  • Угнетение функций селезенки (гипоспленизм) 
  • Отрыжка и изжога 

Целых 75 процентов детей с целиакией имеют избыточный вес или страдают ожирением. Симптомы со стороны пищеварительной системы отмечаются у 20-30% детей с этим заболеванием.

У младенцев типичными симптомами целиакии являются:
  • Хроническая диарея 
  • Вздутие живота 
  • Боль в животе 
  • Задержка физического развития или потеря веса 

У старших детей целиакия обычно проявляется: 
  • Диареей 
  • Запором 
  • Низкорослостью 
  • Задержкой полового созревания 
  • Неврологическими симптомами и проблемами поведения, в том числе синдромом дефицита внимания или гиперактивности (СДВГ), плохой успеваемостью в школе, головными болями и сниженной координацией мышц 

Герпетиформный дерматит Дьюринга 


Герпетиформный дерматит Дьюринга - это заболевание кожи, которое проявляется зудящими волдырями и возникает из-за непереносимости глютена. Сыпь обычно локализуется на локтях, коленях, туловище, волосистой части головы и ягодицах.

целиакия, гипертрофический дерматит Дьюринга

Герпетиформный дерматит часто связан с изменениями в слизистой оболочке тонкой кишки, типичными для целиакии, однако заболевание может не иметь симптомов со стороны пищеварительной системы.

Герпетиформный дерматит лечится безглютеновой диетой и местными препаратами.

Когда обращаться к врачу 

Обратитесь к врачу, если у Вас, или у Вашего ребенка, диарея длится более двух недель. Покажите своего ребенка педиатру, если он имеет нездоровую бледность, раздражительность, плохо прибавляет в весе, имеет крупный, выступающий вперед живот, и/или обильный зловонный стул.  


Получите консультацию своего врача до того, как начнете соблюдать безглютеновую диету - в противном случае диета может изменить результаты лабораторных тестов и затруднить диагностику.

Целиакия, как правило, поражает целые семьи. Если у кого-то из Вашей семьи была диагностирована целиакия - обратитесь к врачу для проведения скрининга на целиакию другим членам семьи. Кроме того, попросите своего врача провести скрининг на целиакию, если у Вас имеются факторы риска развития целиакии (например, сахарный диабет 1 типа).

Причины целиакии 

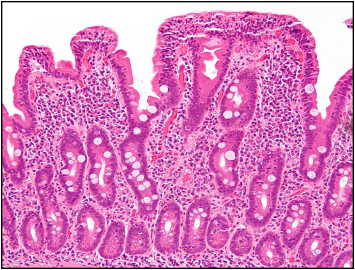
Точная причина целиакии не известна. Когда иммунная система человека реагирует на глютен в пище, иммунные реакции повреждают крошечные, похожие на волоски, микроворсинки, выстилающие тонкий кишечник изнутри. Эти ворсинки нужны для поглощения витаминов, минералов и других питательных веществ из пищи. На микроскопическом уровне эти ворсинки напоминают пушистый ковер. У человека, болеющего целиакией, этот "ковер" превращается в "кафельный пол". Это приводит к невозможности усваивать питательные вещества, необходимые для здоровья и роста.

По данным Национального института здравоохранения США, примерно 1 из 141 человек в США страдают целиакией.

Некоторые генные мутации (изменения структуры генов) увеличивают риск развития болезни. Но наличие этих генных мутаций не означает, что целиакия обязательно разовьется - то есть в этот процесс должны быть вовлечены и другие факторы.

Иногда целиакия начинает проявляться (возникает первое обострение) после перенесенной хирургической операции, беременности, родов, вирусной инфекции или тяжелого эмоционального стресса.

Факторы риска целиакии

Целиакия может возникнуть у любого человека. Однако наиболее часто она встречается у людей, которые имеют: 
  • Члена семьи, больного целиакией или герпетиформным дерматитом 
  • Сахарный диабет 1 типа 
  • Синдром Дауна или синдром Тернера 
  • Аутоиммунное заболевание щитовидной железы 
  • Синдром Шегрена 
  • Микроскопический колит (лимфоцитарный или коллагеновый колит) 

Осложнения целиакии

Без лечения целиакия может привести к следующим проблемам: 
  • Мальнутриция. Повреждение тонкого кишечника приводит к недостаточному всасыванию питательных веществ. Мальнутриция может привести к анемии и потере веса. У детей мальнутриция может привести к замедлению роста и отставанию в психическом развитии. 
  • Потеря кальция и снижение костной плотности. Мальабсорбция кальция и витамина D может привести к размягчению костей (остеомаляции или рахиту) у детей, и потере плотности костной ткани (остеопорозу) у взрослых. 
  • Бесплодие и невынашивание беременности. Нарушение всасывания кальция и витамина D может способствовать развитию репродуктивных проблем. 
  • Непереносимость лактозы. Повреждение тонкого кишечника может сопровождаться болью в животе и диареей после употребления в пищу лактозы (молочных продуктов), даже если пища не содержит глютен. Это обратимая ситуация, и после выздоровления кишечника вы снова сможете переваривать молочные продукты. Однако у некоторых людей формируется пожизненная непереносимость лактозы, несмотря на успешное лечение целиакии. 
  • Злокачественные новообразования. Люди с целиакией, которые не соблюдают безглютеновой диеты, имеют более высокий риск развития некоторых форм рака, в том числе кишечной лимфомы и рака тонкого кишечника. 

Упорная целиакия 

Целых 15 процентов пациентов с целиакией могут не иметь улучшения при соблюдении безглютеновой диеты. Это состояние называется "неотвечающая" или упорная целиакия, и связана часто с недостаточной степенью очистки пищи от глютена. 

Рефрактерная целиакия 

В редких случаях, повреждение кишечника продолжается, даже если вы следуете самой строгой безглютеновой диете. Это состояние называется рефрактерной целиакией.

Если вы продолжаете испытывать симптомы целиакии, несмотря на соблюдение диеты в течение 6-12 месяцев, ваш врач может рекомендовать дообследование, чтобы лучше изучить целиакию и еще раз исключить наличие у вас иных заболеваний. Ваш врач может рекомендовать лечение стероидами, чтобы уменьшить воспаление кишечника, или лекарствами, подавляющими иммунную систему.

Подготовка к визиту врача 

Ваш семейный врач может направить Вас к врачу с узкой специализацией, который лечит заболевания органов пищеварения (гастроэнтерологу).

Вот некоторая информация, которая поможет Вам подготовиться к встрече с этим врачом.
  1. Продолжайте есть обычную пищу до консультации с гастроэнтерологом, до тех пор, пока диета не будет рекомендована врачом. Если Вы прекратите есть продукты, содержащие глютен, до лабораторного обследования на целиакию - это может исказить результаты обследования. 
  2. Запишите свои симптомы, когда они появились, как изменялись по времени. 
  3. Запишите ключевую личную информацию, в том числе какие-либо серьезные стрессы, или недавние перемены в жизни. 
  4. Составьте список всех лекарств, витаминов и биологически активных добавок, которые Вы принимаете. 
  5. Запишите вопросы, которые Вы хотели бы задать врачу, чтобы ничего не забыть. 

Диагностика целиакии

Лабораторные анализы и тесты, используемые для диагностики целиакии, включают в себя следующее: 
 
Анализы крови. Повышенные уровни определенных веществ в крови (антител) указывают на иммунную реакцию на глютен. Эти тесты иногда могут выявить целиакию даже если у Вас имеются лишь слабые ее симптомы, или вовсе нет никаких симптомов.

Фиброэндоскопия. Если ваши анализы крови указывают на наличие целиакии, врач может назначить фиброэндоскопию для осмотра тонкого кишечника, и во время нее взять небольшой образец ткани (биопсию) для изучения под микроскопом степени повреждения ворсинок кишечника.

Капсульная эндоскопия. Это исследование проводится с помощью крошечной беспроводной камеры, которая фотографирует весь тонкий кишечник. Камера находится внутри капсулы, размером с капсулу поливитаминного препарата, и потому легко проглатывается пациентом. Во время прохождения капсулы по пищеварительному тракту, она делает тысячи снимков, которые передаются по беспроводной связи на записывающее устройство.

Важно провести обследование на целиакию до начала безглютеновой диеты. Устранение глютена из рациона может изменить результаты анализов крови, и они могут стать нормальными, несмотря на наличие заболевания.

Лечение целиакии 

Безглютеновая диета имеет важное значение, и является почти единственным методом лечения целиакии. Помимо пшеницы, из рациона пациента исключаются: 
  • Ячмень 
  • Булгур 
  • Твердые сорта злаковых 
  • Крахмал 
  • Булочки грубого помола 
  • Солод 
  • Рожь 
  • Манная крупа 
  • Спельта (форма пшеницы) 
  • Тритикале 

Ваш врач может направить Вас к диетологу, который поможет спланировать здоровую безглютеновую диету.

После того, как глютен удален из рациона, обычно проходит несколько недель, пока воспаление в кишечнике начнет затихать. Полное исчезновение симптомов и вырастание новых микроворсинок в кишечнике может занять от нескольких месяцев до нескольких лет. Восстановление тонкого кишечника у детей обычно происходит быстрее, чем у взрослых.

Если Вы случайно съели продукт, который содержит глютен, вы можете испытать боль в животе и диарею. Однако некоторые люди не испытывают никаких симптомов после употребления в пищу глютена, и это вовсе не значит, что глютен им не вреден. Даже следовые количества глютена в Вашем рационе могут нанести серьезный ущерб, вне зависимости от того, будет ли это проявляться заметными симптомами, или нет.

Витамины и минеральные добавки 

Если вы испытываете серьезный дефицит пищевых веществ, ваш врач или диетолог может порекомендовать прием витаминных и минеральных добавок. Возможно, вам потребуется восполнение уровней:  
  • Кальция 
  • Фолата 
  • Железа 
  • Витамина B12 
  • Витамина D 
  • Витамина K 
  • Цинка 

Витаминные добавки, как правило, принимают в виде таблеток. Но если Ваш желудочно-кишечный тракт не способен всасывать витамины - ваш доктор может вводить их путем инъекций.

Лекарства, подавляющие воспаление кишечника 

Если Ваш тонкий кишечник сильно поврежден, врач может рекомендовать стероиды, чтобы подавить воспаление. Стероиды могут облегчить тяжелые симптомы целиакии, и способствовать заживлению кишечника.

Препараты против герпетиформного дерматита 

Если у вас на коже есть зуд и пузырьковая сыпь - врач может рекомендовать лечение кожи параллельно с безглютеновой диетой.

Изменение образа жизни 

Пациенты с целиакией должны всегда внимательно читать этикетки на пищевых продуктах

Следует избегать полуфабрикатов, кроме тех, которые имеют маркировку "не содержит глютена". Помимо очевидных продуктов, таких как макаронные изделия и выпечка, глютен может содержаться в следующих продуктах питания:
  • Пиво 
  • Конфеты 
  • Соусы 
  • Имитированное мясо или морепродукты 
  • Обработанное мясо 
  • Приправы к салатам и соусы 
  • Супы 

Некоторые зерна, например зерна овса, могут быть "загрязнены" зернами пшеницы при выращивании и/или обработке. Пока не ясно, является ли овес вредным для людей с целиакией, но врачи обычно рекомендуют избегать и овса, если он не помечен специальной этикеткой "не содержит глютена".

Какие продукты разрешены людям, соблюдающим безглютеновую диету:
  • Свежее мясо, рыба и птица, не посыпанные панировкой, не сдобренные тестом 
  • Фрукты 
  • Большинство молочных продуктов 
  • Картофель 
  • Овощи 
  • Винные и дистиллированные ликеры, сидр и спиртные напитки. 

Зерновые и крахмал-содержащие продукты, разрешенные при безглютеновой диете: 
  • Амарант 
  • Аррорут 
  • Гречиха 
  • Кукуруза 
  • Безглютеновая мука (рисовая, соевая, кукурузная, картофельная, фасолевая) 
  • Чистые кукурузные лепешки 
  • Лебеда 
  • Рис 
  • Тапиока 

К счастью, в настоящее время производится множество продуктов, не содержащих глютен и имеющих соответствующую маркировку. Если Вы не можете найти такие продукты в магазинах своего города - подумайте о заказе продуктов через интернет.

Во многих городах существуют общественные организации, поддерживающие людей с непереносимостью глютена. Если Вам или Вашему ребёнку выставлен этот диагноз, обязательно найдите ближайшее к Вам общество и вступите в его ряды - Вы получите максимальную информационную поддержку.

Возраст до:  18

Источник:  http://medspecial.ru/for_patients/7/29411/

Категория:  Родителям / Специалистам

Правообладатель:  Доказательная медицина

Тип материала:  Статьи

Теги материала:  целиакия / медицинское сопровождение / еда / лечение / опасные продукты / рацион ребенка

Количество показов:  27150